Ο κίνδυνος υγείας που απειλεί όλο και συχνότερα όσους πηγαίνουν τουαλέτα με το κινητό τους Metrosport Team 09.08.2025
Θερμική εξάντληση και θερμοπληξία: Ποια είναι η διαφορά και πώς να τις αντιμετωπίσετε Metrosport Team 08.08.2025
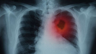
Καρκίνος του πνεύμονα: Ο σοβαρός κίνδυνος που «κρύβεται» στο ντουλάπι της κουζίνας Metrosport Team 07.08.2025
Καρκίνος: Ποιο γλυκαντικό μπλοκάρει την αποτελεσματικότητα της ανοσοθεραπείας Metrosport Team 07.08.2025