Θεσσαλονίκη: Ανήλικη κατάπιε καρφίτσα
Ένα ανήλικο κορίτσι μεταφέρθηκε από τους γονείς της στο Ιπποκράτειο Νοσοκομείο Θεσσαλονίκης, καθώς είχε καταπιεί καρφίτσα.
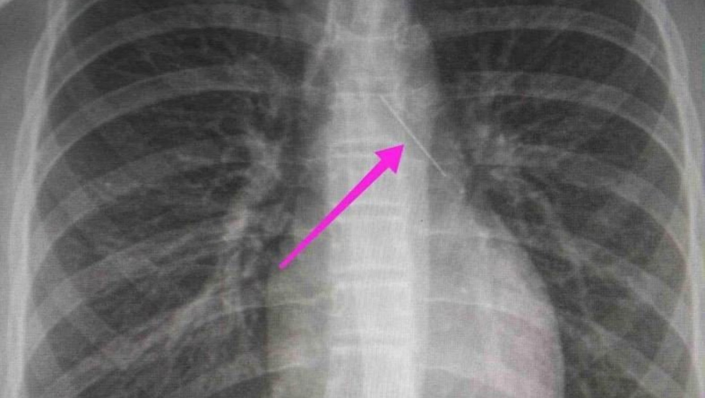
Από την απεικονιστική διερεύνηση που πραγματοποιήθηκε με ακτινογραφία θώρακος αρχικά και ακολούθως με αξονική τομογραφία θώρακος, διαπιστώθηκε η ύπαρξη αιχμηρού μεταλλικού ξένου σώματος στην αναπνευστική οδό (αριστερός κύριος βρόγχος) και όχι στην πεπτική οδό, αναφέρει η ανακοίνωση του νοσοκομείου, στα μέσα κοινωνικής δικτύωσης.
Η ανήλικη υπεβλήθη σε βρογχοσκόπηση και διαπιστώθηκε η μετακίνηση και ενσφήνωση της καρφίτσας στον δεξιό κύριο βρόγχο. Μετά οπό εργώδεις προσπάθειες ολοκληρώθηκε με επιτυχία η αφαίρεσή της.
Η ανήλικη ασθενής μεταφέρθηκε για παρακολούθηση και νοσηλεία στην Γ’ Παιδιατρική Κλινική.
Ακολουθήστε τη σελίδα του metrosport.gr και στο google news.
Κάντε like στη σελίδα μας στο Facebook
ΣΧΕΤΙΚΑ ΑΡΘΡΑ
- Θεσσαλονίκη: «Ξεχύθηκαν» στους δρόμους τα τουριστικά λεωφορεία με μαύρα πανιά και κόρνες
- Θεόφιλος Αλεξόπουλος: «Δέχομαι πόλεμο λάσπης, ποτέ δεν έκανα μήνυση στην 24χρονη»
- Θεσσαλονίκη-Βιασμός 24χρονης: Γκαζάκια στην πολυκατοικία ατόμων που εμπλέκονται στην υπόθεση
- Θεσσαλονίκη: Ζαχαροπλαστείο για σκύλους στην Τριανδρία