facebook pixel

Κορωνοϊός: Ανατριχιαστική ακτινογραφία ασθενούς

Κορωνοϊός: Ανατριχιαστική ακτινογραφία ασθενούς

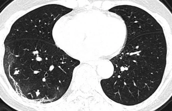
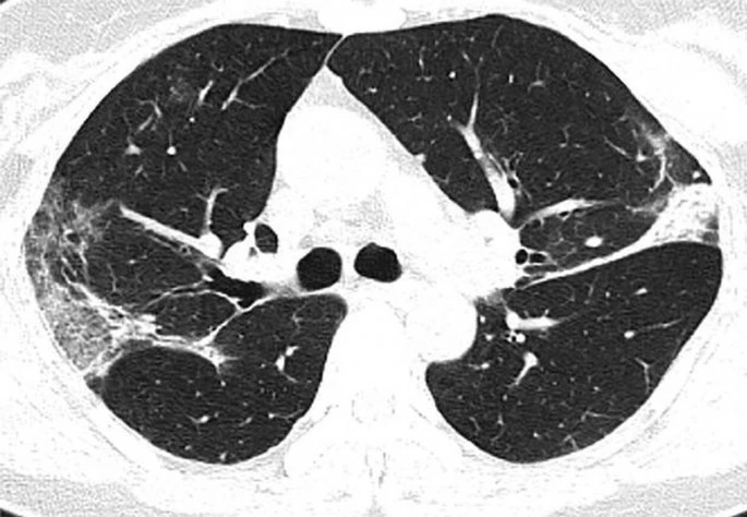
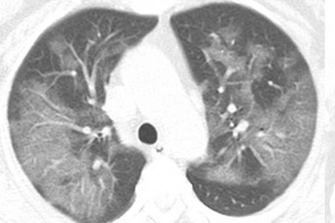
Η πανδημία του κορωνοϊού covid-19 συνεχίζει να καλπάζει σε όλο τον πλανήτη, με τους γιατρούς να παρακολουθούν την έξαρσή του. Περισσότεροι από 4.000 άνθρωποι έχουν χάσει τις ζωές τους από τις επιπλοκές του ιού, ο οποίος προκαλεί σοβαρό πρόβλημα στους πνεύμονες των ασθενών. Στην δημοσιότητα δόθηκαν από την Ραδιολογική Κοινότητα της Βορείου Αμερικής ακτινογραφία πνευμόνων ασθενών, οι οποίοι είχαν προσβληθεί από τον κορωνοϊό, οι οποίες προκαλούν ανατριχίλα.

Οι ασθενείς που έχουν νοσήσει μέχρι στιγμής έχουν περιγράψει την εμπειρία τους ως μια «τρομακτική προσπάθεια για να αναπνεύσουν». Στις ακτινογραφίες διακρίνονται κάποια άσπρα σημάδια, χαμηλά στους πνεύμονες. Περιγράφονται ως υγρό στις κυψέλες του πνεύμονα. Να σημειώσουμε πως οι ακτινογραφίες αυτές που δόθηκαν στην δημοσιότητα είναι από ασθενείς από την Κίνα που νόσησαν με επιπλοκές, οπότε δεν έχουν καμία σχέση με το αν νοσήσει κάποιος ο οποίος δεν αντιμετωπίζει προβλήματα υγείας.

koronoios-1.jpeg
koronoios-2.jpg
koronoios-3.jpeg
koronoios-4.jpg

πηγή: ethnos.gr

ΣΧΕΤΙΚΑ ΑΡΘΡΑ

ΔΕΙΤΕ ΠΕΡΙΣΣΟΤΕΡΑ

Ενημερωθείτε πρώτοι για όλα τα τελεταία νέα, απευθείας στο email σας